Ένας 43χρονος άντρας παρουσίαζε επί εβδομάδες επιληπτικές κρίσεις και απώλεια συνείδησης.
Όταν πήγε στον γιατρό αποδείχτηκε ότι είχε εκατοντάδες σκουλήκια παράσιτα στον εγκέφαλο και το στήθος του!
Ο ασθενής, που ονομάζεται Zhu Zhongfa και κατάγεται από την Κίνα, φέρεται να είχε φάει χοιρινό, που δεν είχε μαγειρευτεί καλά και το οποίο είχε μολυνθεί με Taenia solium, ένα παρασιτικό είδος σκώληκα.

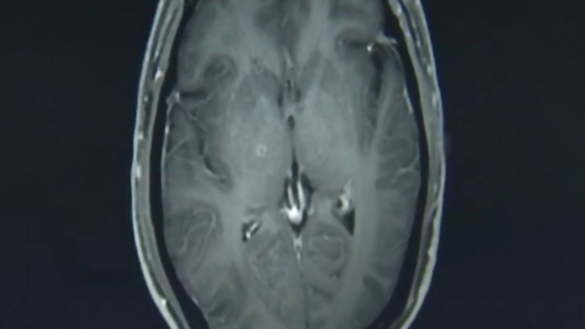
Τα σκουλήκια παράσιτα, που βλέπετε εδώ σε τομογραφία του εγκεφάλου του 43χρονου, εισήλθαν στο σώμα του μέσω του πεπτικού συστήματος, αφότου κατανάλωσε μη επαρκώς μαγειρεμένο χοιρινό κρέας.
“Ο κάθε ασθενής μπορεί να παρουσιάσει διαφορετικές αντιδράσεις σε αυτή την μόλυνση, ανάλογα με το πού θα αναπτυχθούν τα παράσιτα”, δήλωσε στο AsiaWire ο γιατρός Huang Jianrong, που κούραρε τον ασθενή. “Σε αυτή την περίπτωση, ο ασθενής είχε επιληπτικές κρίσεις και απώλεια συνείδησης, αλλά άλλοι ασθενείς με σκουλήκια στους πνεύμονές τους εκδηλώνουν πολύ έντονο βήχα”.
Ο δρ. Jianrong εξήγησε ότι οι προνύμφες εισήλθαν στο σώμα του Zhongfa μέσω του πεπτικού συστήματος και ταξίδεψαν προς τα πάνω μέσα από την κυκλοφορία του αίματος. Διαγνώστηκε επισήμως με κυστικέρκωση (cysticercosis) και νευροκυστίτιδα (neurocysticercosis) και έλαβε αντιπαρασιτικό φάρμακο και άλλα φάρμακα για την προστασία των οργάνων του από περαιτέρω βλάβες.
Ο δρ. Jianrong είπε ότι ο ασθενής του αναρρώνει καλά μετά από μια εβδομάδα θεραπείας, αλλά οι πιθανές μακροπρόθεσμες επιδράσεις από την μόλυνση είναι ασαφείς.
Τι να προσέχετε
Το αμερικανικό Κέντρο Ελέγχου και Πρόληψης Νοσημάτων (CDC) συνιστά το μαγείρεμα του κάθε τύπου κρέατος σε ασφαλή θερμοκρασία και τη χρήση ενός θερμόμετρου. Οι άνθρωποι είναι οι μοναδικοί πιθανοί “οικοδεσπότες” για τα παρασιτικά σκουλήκια-ταινίες του είδους Taenia. Τα αυγά των σκουληκιών αυτών επιβιώνουν σε υγρό περιβάλλον για ημέρες έως και μήνες, και οι αγελάδες και οι χοίροι μολύνονται μετά τη σίτισή τους σε μολυσμένες περιοχές.
Αφού εισέλθουν στο ζώο, τα αυγά εκκολάπτονται στο έντερο και μεταναστεύουν στους μυς, όπου αναπτύσσονται σε σκουλήκια-ταινίες, τα οποία μπορούν να επιβιώσουν για αρκετά χρόνια στον οργανισμό. Εισέρχονται στον άνθρωπο, όταν αυτός καταναλώσει μολυσμένο ωμό, ή ανεπαρκώς μαγειρεμένο βόειο ή χοιρινό κρέας, σύμφωνα με το CDC.
iatropedia.gr
To «alldaynews.gr» αποποιείται κάθε ευθύνη από τις αναδημοσιεύσεις άρθρων τρίτων ιστοσελίδων, για τα οποία (άρθρα) την ευθύνη την έχει ο υπογράφων ως πηγή.










































































































