Από την πρώτη στιγμή της πανδημίας έγινε γνωστό πως τα παιδιά δεν νοσούν εύκολα και με βαριά συμπτώματα. Ωστόσο, με την επικράτηση της μετάλλαξης Δέλτα τα δεδομένα αλλάζουν.
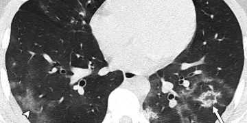
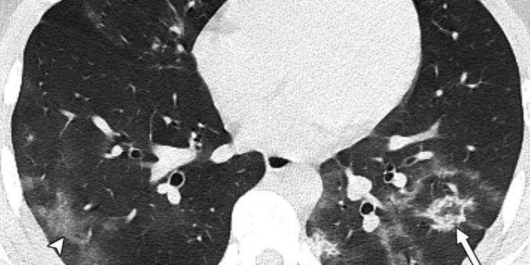
Ο επίκουρος καθηγητής στο Τμήμα Υγιεινής και Επιδημιολογίας της Ιατρικής Σχολής του ΕΚΠΑ και μέλος της επιτροπής των εμπειρογνωμόνων, Γκίκας Μαγιορκίνης με ανάρτησή του παρουσιάζει τις βλάβες που έχει προκαλέσει ο κορονοϊός στους πνεύμονες ανήλικων ασθενών.
Μάλιστα, ο Γκίκας Μαγιορκίνης υπογραμμίζει ότι κανένας από τους τέσσερις ανηλίκους που νόσησαν με κορονοϊό δεν έχει υποκείμενα νοσήματα και συνεχίζει λέγοντας: «Με το εμβόλιο προστατεύουμε τους πνεύμονές μας από βαρύτατη καταπόνηση».

Αναλυτικά η ανάρτηση του Γκίκα Μαγιορκίνη
«Μία εικόνα χίλιες λέξεις. Αξονικές τομογραφίες νέων κάτω από 18 έτη με Covid-19 (18 ετών, 15 ετών, 14 ετών και 8 ετών). Κανένας ασθενής δεν είχε υποκείμενα νοσήματα ή ανοσοκαταστολή. Οι ασθενείς δεν χρειάστηκαν συμπληρωματικό οξυγόνο, διασωλήνωση ή ΜΕΘ. Πρόκειται για απλά-κοινά περιστατικά Covid-19. Ωστόσο έχουν πολύ “εντυπωσιακές” βλάβες και είναι άγνωστο τι θα προκαλέσουν αυτές οι βλάβες σε βάθος χρόνου. Για την πλειονότητα του κόσμου το ερώτημα είναι απλό: Θέλουν να υποβάλουν τους πνεύμονές τους σε αυτές τις βλάβες για να δουν αν αντέχουν; Και αν αντέξουν την πρόκληση (όπως προβλέπεται ότι θα αντέξουν οι περισσότεροι νέοι) θέλουν να δουν πόσα χρόνια ή αντοχές έχασαν στην πορεία; Με το εμβόλιο προστατεύουμε τους πνεύμονές μας από βαρύτατη καταπόνηση!»
To «alldaynews.gr» αποποιείται κάθε ευθύνη από τις αναδημοσιεύσεις άρθρων τρίτων ιστοσελίδων, για τα οποία (άρθρα) την ευθύνη την έχει ο υπογράφων ως πηγή.








































































































