Θεσσαλονίκη: Ανήλικη κατάπιε καρφίτσα – Είχε σταθεί στον δεξιό βρόγχο
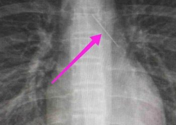
Με επιτυχία ολοκληρώθηκε η προσπάθεια ιατρικής ομάδας του Γενικού Νοσοκομείου Θεσσαλονίκης «Ιπποκράτειο» για την αφαίρεση καρφίτσας από τον δεξιό πνεύμονα ...
Με επιτυχία ολοκληρώθηκε η προσπάθεια ιατρικής ομάδας του Γενικού Νοσοκομείου Θεσσαλονίκης «Ιπποκράτειο» για την αφαίρεση καρφίτσας από τον δεξιό πνεύμονα ...
Η στυτική δυσλειτουργία αποτελεί ένα από τα πιο συχνά προβλήματα στύσης, όπου ο άνδρας αδυνατεί επανειλημμένα να επιτύχει ή να...
Read moreDetailsΈπειτα από 11 μήνες μέσα σε θαλάμους νοσοκομείου, ο μικρός Νικόλας κοιμήθηκε ξανά στο δωμάτιό του και η μητέρα του...
Read moreDetailsΗ μνήμη του Πόντου ζωντανεύει ξανά μέσα από ένα βίντεο που έχει συγκλονίσει χιλιάδες ανθρώπους. Με εικόνες γεμάτες συμβολισμούς, συγκίνηση...
Read moreDetails
© 2023 Alldaynews.gr
Μέλος του topics.gr
















