Με επιτυχία ολοκληρώθηκε η προσπάθεια ιατρικής ομάδας του Γενικού Νοσοκομείου Θεσσαλονίκης «Ιπποκράτειο» για την αφαίρεση καρφίτσας από τον δεξιό πνεύμονα σε ανήλικο κορίτσι.
Συγκεκριμένα, χθες Κυριακή στις 16:00 το απόγευμα το κορίτσι συνοδευόμενο από τους γονείς του προσήλθε στο ΤΕΠ του νοσοκομείου αναφέροντας ότι είχε καταπιεί μια καρφίτσα.
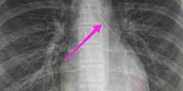
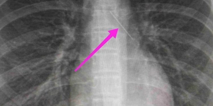
Από την απεικονιστική διερεύνηση που πραγματοποιήθηκε με ακτινογραφία θώρακος αρχικά και ακολούθως με αξονική τομογραφία θώρακος, διαπιστώθηκε «η ύπαρξη αιχμηρού μεταλλικού ξένου σώματος στην αναπνευστική οδό (αριστερός κύριος βρόγχος) και όχι στην πεπτική οδό».

Οι γιατροί αφού έκαναν πλήρη προεγχειρητικό έλεγχο και RAPID PCR για την COVID-19, και μετά την συγκατάθεση των γονέων οδήγησαν το κορίτσι στη χειρουργική αίθουσα.
Υπό γενική αναισθησία από την ιατρό Αναισθησιολόγο, Διευθύντρια Μαρία Μυλωνά υποβλήθηκε σε βρογχοσκόπηση με άκαμπτο βρογχοσκόπιο από τους γιατρούς ΩΡΛ, Καρασμάνη Ηλία και Μαγγανάρη Αργύρη, της ΩΡΛ Κλινικής του «Ιπποκράτειου».
Κατά την βρογχοσκόπηση διαπιστώθηκε η μετακίνηση και ενσφήνωση του ξένου σώματος στον δεξιό κύριο βρόγχο. Μετά από εργώδεις προσπάθειες ολοκληρώθηκε με επιτυχία η αφαίρεση του.
Η ασθενής ανένηψε πλήρως εντός της χειρουργικής αίθουσας και μεταφέρθηκε για παρακολούθηση και νοσηλεία στη Γ’ Παιδιατρική Κλινική.
To «alldaynews.gr» αποποιείται κάθε ευθύνη από τις αναδημοσιεύσεις άρθρων τρίτων ιστοσελίδων, για τα οποία (άρθρα) την ευθύνη την έχει ο υπογράφων ως πηγή.




























![Alldaynews.gr Νεαρός στη λαϊκή τα “Χώνει” στα γερόντια: «Ρε μ@.@κες – Θα πεθάνετε ρε πάτε καλα;»[video]](https://alldaynews.gr/wp-content/uploads/2020/03/laiki-360x180.jpg)



![Alldaynews.gr Δείτε πώς θα κατοχυρώσετε σύνταξη στα 60 [ΑΝΑΛΥΤΙΚΑ ΣΕ ΟΛΑ ΤΑ ΤΑΜΕΙΑ]](https://alldaynews.gr/wp-content/uploads/2016/10/syntaxi-360x180.jpg)










































































