Άφωνοι έμειναν οι γιατροί στη Φλόριντα των ΗΠΑ με αυτό που ανακάλυψαν σε 52χρονο ασθενή. Ο άνδρας, που πιστεύεται ότι έπασχε από σοβαρές ημικρανίες, αντιμετώπιζε στην πραγματικότητα μια παράξενη μόλυνση από κεστοειδή σκώληκα στον εγκέφαλό του που προκλήθηκε από την κατανάλωση κακοψημένου μπέικον.
Ο ασθενής, η περίπτωση του οποίου δημοσιεύτηκε πρόσφατα στο American Journal of Case Reports, παραπονιόταν επί εβδομάδες ότι είχε έντονους πονοκεφάλους για διάστημα τεσσάρων μηνών μετά την κατανάλωση του μολυσμένου προϊόντος από χοιρινό.
Πώς προκλήθηκε η μόλυνση από το περίεργο παράσιτο
Οι ειδικοί ανέφεραν ότι η «προτίμησή του για μπέικον, λίγο ψημένο» δεν ήταν η μοναδική αιτία της συγκεκριμένης, παράξενης πάθησης. Μάλλον, ήταν ότι το αγαπημένο πρωινό του φαγητό είχε χαλάσει, και το ανεπαρκές ψήσιμο τον έκανε εξαιρετικά ευάλωτο.
Αυτός ο συνδυασμός παραγόντων οδήγησε σε μια περίπτωση νευροκυστικέρκωσης. Είναι ο επιστημονικός όρος για έναν παράσιτο που γεννά αυγά τα οποία μολύνουν διάφορες περιοχές του σώματος. Μάλιστα, η νευροκυστικέρκωση μπορεί να είναι μεταδοτική.
«Είναι ιστορικά πολύ ασυνήθιστο να συναντάμε μολυσμένο χοιρινό κρέας στις Ηνωμένες Πολιτείες και στην περίπτωσή μας μπορεί να έχει επιπτώσεις στη δημόσια υγεία», έγραψαν οι ερευνητές.
Γιατί είναι μεταδοτική η ασθένεια
Σύμφωνα με το CDC, εάν τα άτομα που έχουν προσβληθεί δεν πλένουν σχολαστικά τα χέρια τους μετά την αφόδευση, μπορούν να μεταδώσουν τα αυγά του παρασίτου σε άλλα μέλη της οικογένειάς τους, που μένουν στο ίδιο σπίτι, ειδικά μέσω του φαγητού.
Το CDC αναφέρει ότι αυτή η ασυνήθιστη ασθένεια μπορεί να προληφθεί, αλλά παρόλα αυτά οδηγεί σε νοσηλεία περίπου 1.000 Αμερικανούς ετησίως.
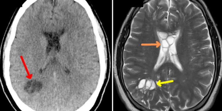
Στην συγκεκριμένη περίπτωση, ο ασθενής εκτός από το οίδημα, ανέπτυξε κύστεις και στις δύο πλευρές του εγκεφάλου του. Αργότερα, αυτό αποδείχθηκε ότι προκλήθηκε από τo παράσιτο (κεστοειδής σκώληκας) που είχε γεννήσει αυγά μέσα στον εγκέφαλο του άνδρα.
Η θεραπεία
Ο ασθενής θεραπεύτηκε με αλβενδαζόλη, το οποίο οδήγησε σε βελτίωση μετά από δύο εβδομάδες. Η αλβενδαζόλη είναι ένα φάρμακο που χρησιμοποιείται για τη θεραπεία μιας ποικιλίας παρασιτικών ελμινθικών λοιμώξεων.
Επειδή σε τέσσερις στις πέντε περιπτώσεις υπάρχει κρίση, οι γιατροί καλούνται να «διατηρούν υψηλό δείκτη υποψίας και να λαμβάνουν λεπτομερές ιστορικό από ασθενείς με αλλαγές στο μοτίβο της ημικρανίας τους».
To «alldaynews.gr» αποποιείται κάθε ευθύνη από τις αναδημοσιεύσεις άρθρων τρίτων ιστοσελίδων, για τα οποία (άρθρα) την ευθύνη την έχει ο υπογράφων ως πηγή.












































































































